The U-NET model was trained with a batch size of 16 and number of epochs were 100. The Adam optimizer was used and the learning rate was 2e-4 with the model accuracy being the evaluation metric. The training stopped after 68 epochs and achieved a training accuracy of 99.95% and a validation accuracy of 99.97%.
The DenseNet model was trained on the LUNA16 dataset with a batch size of 64. The batch size had to be increased due to the large number of samples in the dataset. The number of epochs were adjusted to 50 and the Adam optimizer was used with model accuracy and model loss being the evaluation metric. After 36 epochs, the model achieved a training accuracy of 99.05% and a validation accuracy of 97.42%.
The hybrid CNN-RF model was trained on the IQ-OTH/NCCD dataset. The model was trained with a batch size of 16 and on 50 epochs. The Adam optimizer is used and the learning rate was set to 0.0001. After training, the model achieved an accuracy of 99.74 on the training set and an accuracy of 99.10% on the validation set.
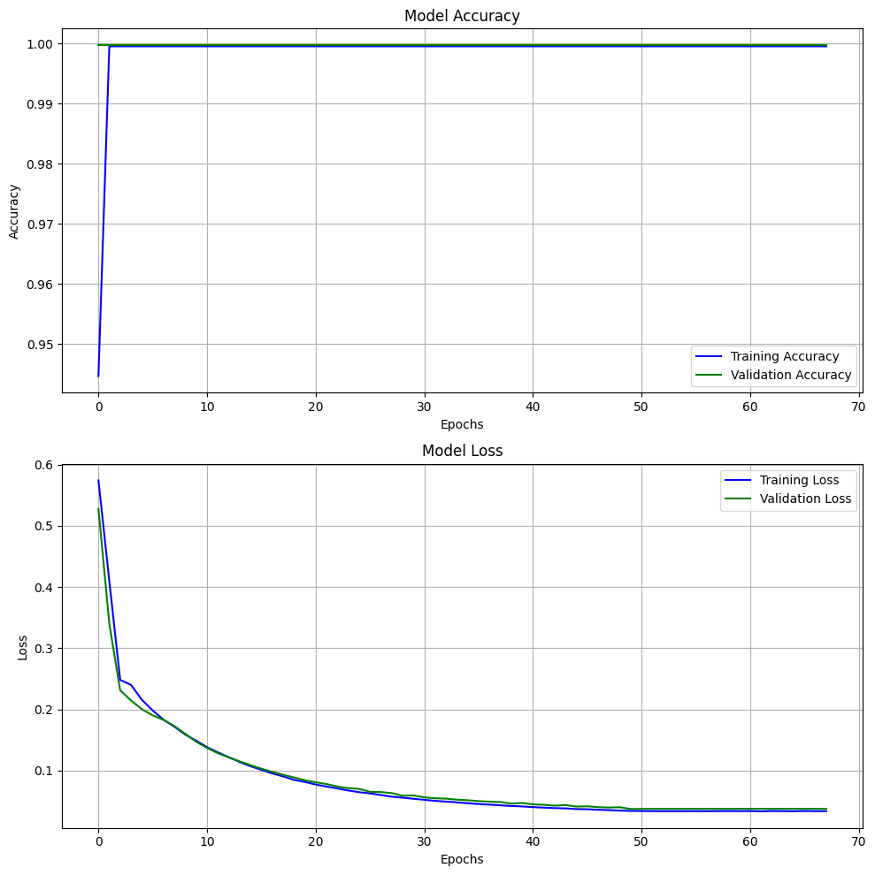
In another method, the pre-trained model, Xception was used to train a model using the Chest CT-Scans dataset and IQ-OTH/NCCD dataset. The model was trained with a batch size of 8 and an output size of 4 on the Chest CT Scans dataset and an output size of 3 on the IQ-OTH/NCCD dataset. The number of epochs were 50 with the steps for every epoch being 25. The minimum learning rate was set to 1e-5 and the Adam optimizer was used. The model achieved a training accuracy of 99.93% and a validation accuracy of 90.28% on the Chest CT Scans dataset and on the IQ-OTJ/NCCD dataset, the model achieved a training accuracy of 99.34% and a validation accuracy of 97.27%. The model performance on the Chest CT Scans dataset is shown in (Figure. 15) and (Figure. 16) shows the model performance on the IQ-OTH/NCCD dataset.
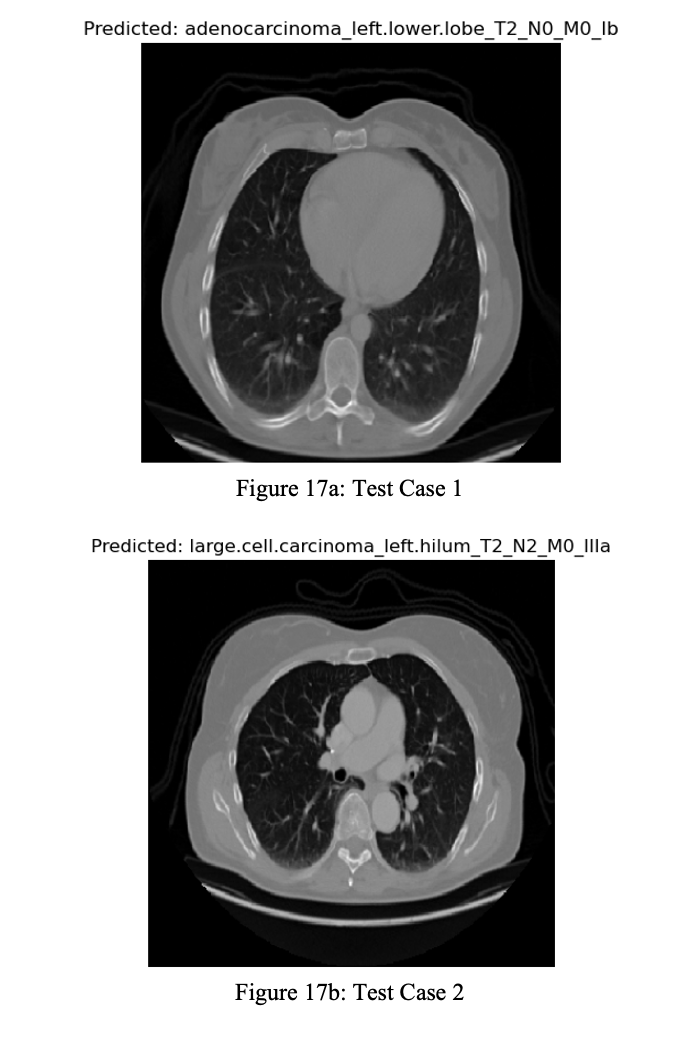
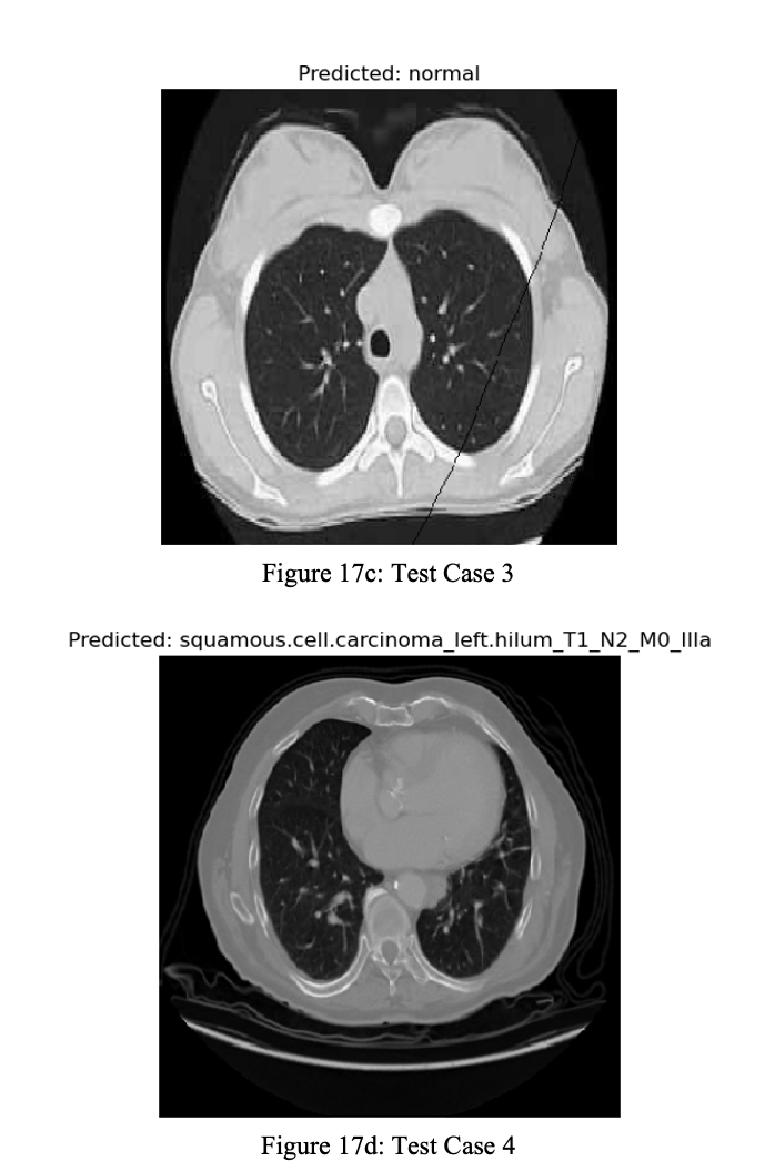
The model was used to make predictions on the Chest CT Scans dataset and the IQ-OTH/NCCD dataset. In (Figure 17a to Figure 17d), the model takes different samples belonging to each class of the Chest CT Scans dataset and predicts which class the Chest CT scan image belongs to.
Table 5 presents a comparison of the proposed models with the models discussed in the literature. As shown in the table, the hybrid CNN-RF model in this study outperforms the hybrid CNN-SVM model in [18] with an accuracy of 99.74%. The CNN model implemented in this study using transfer learning on the pretrained Xception architecture outperforms the model trained using VGG19 in [21]. The CNN models trained using U-NET and DenseNet outperform the model trained using AlexNet in [22] with accuracies of 99.95% and 99.05%. The models trained in [17-17] and [19] are outperformed by the hybrid CNN-RF model in this study.
The code to this research project can be found here: https://github.com/Ibrahim278/Early-Lung-Cancer-Diagnosis-using-ANNs/tree/main











